利用ITS和AFLP标记探讨中国、日本和澳大利亚3种珠母贝的亲缘关系

Species status of Chinese Pinctada fucata, Japanese P. fucata martensii and Australian P. imbricata using ITS and AFLP markers

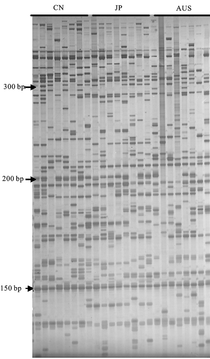
  • 摘要: 我国合浦珠母贝Pinctada fucata的命名较混乱,与日本的P. fucata martensii和澳大利亚的P. imbricata的分类关系存在争议。用ITSs序列和AFLP标记对这3个种的遗传关系进行了分析。结果表明这3个地理种的遗传分化很低,种内和种间的遗传距离相互重叠,AFLP数据的聚类分析表明澳大利亚种群大部分个体单独聚合成一支,主成分分析结果相似。种间的遗传距离与分化程度与其地理距离呈正相关。分子方差结果也表明种间的差异较小,低于6%。这些结果表明这3个种实际上是同一物种。由于大西洋的P. mbricata与澳大利亚的不同,因此根据分类命名的优先原则,正确的种名应为P. fucata

     

    Abstract: Species status for Chinese Pinctada fucata, Japanese P. fucata martensii and Australian P. imbricata was investigated using ITSs and AFLP. The results indicated that genetic differentiation among populations of the three nominal species is low, and intraspecific and interspecific genetic distances are overlapping, as revealed by ITSs and AFLP markers. Based on AFLP data, phylogenetic analysis showed that most individuals from P. imbricata population are clustered together, consistent with the result from principal component analysis. It was found that the three nominal species are genetically isolated by geographic distance. AMOVA indicated that no more than 6% of the total variation is attributed to interspecific differences. These observations support the hypothesis that the three species are conspecific. According to the priority rule of nomination, the correct name of the species should be P. fucata because Atlantic P. imbricata is reported to be genetically different from Australian P. imbricata.

     

/

返回文章
返回