罗非鱼无乳链球菌Sip-Pgk融合蛋白乳酸菌口服疫苗制备及其免疫效果的研究

Preparation and immunogenicity of Lactococcus lactis vaccine expressing Sip-Pgk fusion protein of Streptococcus agalactiae isolated from tilapia

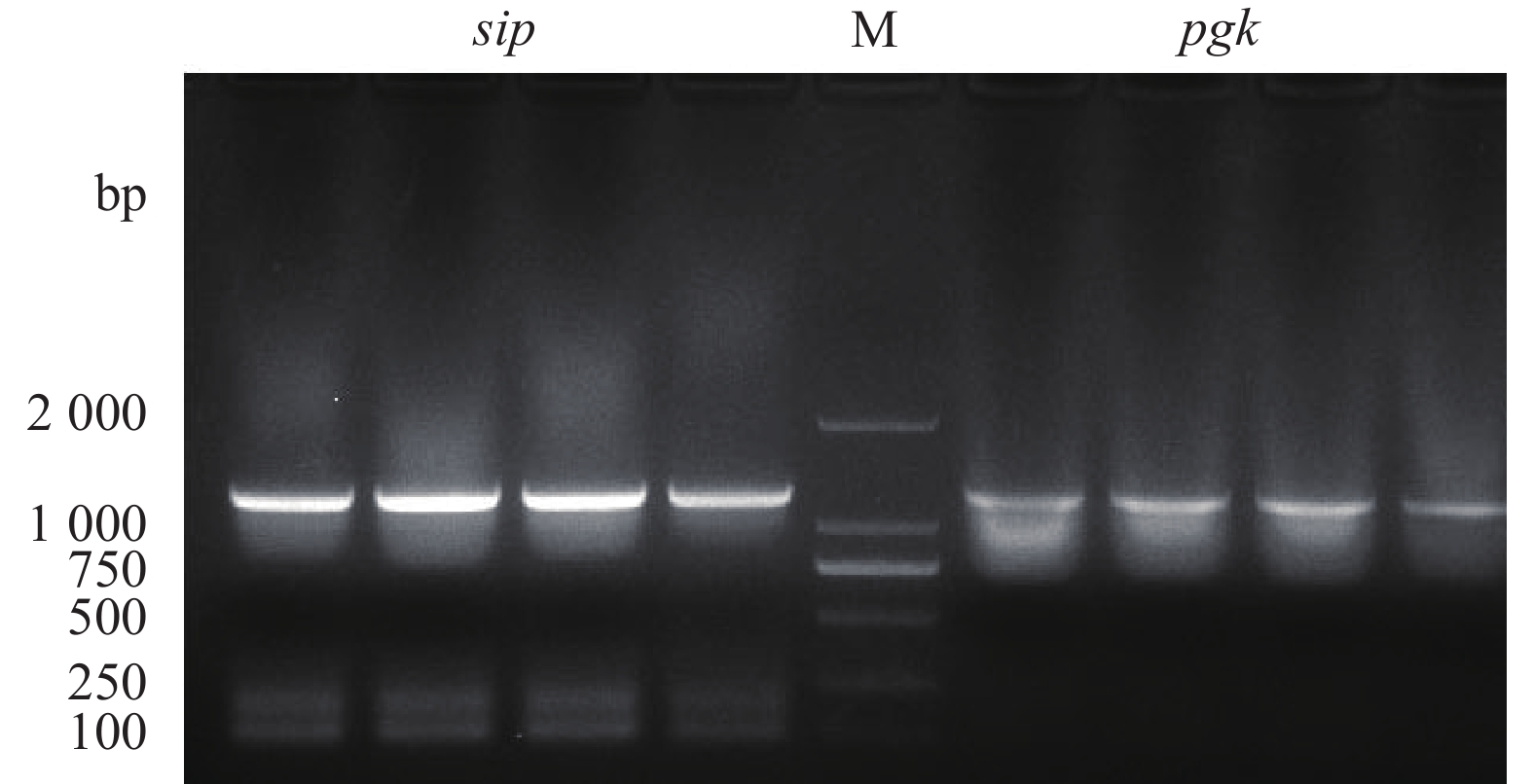
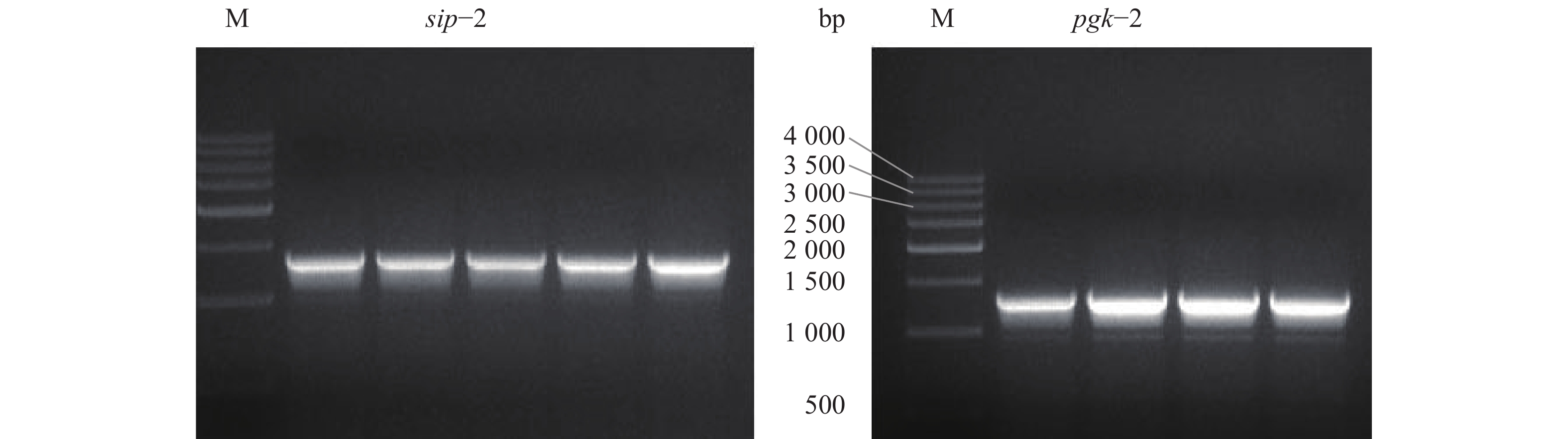
  • 摘要: 为研制比无乳链球菌(Streptococcus agalactiae)单个蛋白抗原免疫效果更佳的多蛋白重组罗非鱼 (Oreochromis sp.) 链球菌病口服疫苗,该研究利用同源重组法构建表达无乳链球菌Sip-Pgk融合蛋白的pNZ8148-sip-pgk质粒,通过电转化乳酸乳球菌(Lactococcus lactis) NZ9000中获得L. lactis NZ9000 pNZ8148-sip-pgk重组乳酸菌,使用nisin诱导表达并进行Western blot鉴定,制备Sip-Pgk融合蛋白乳酸菌口服疫苗,通过不同免疫次数隔周免疫的方式灌胃罗非鱼。ELISA检测免疫后的血清抗体水平,在灌胃免疫结束后的第18天通过腹腔注射无乳链球菌攻毒获得相对免疫保护率。结果显示,构建的重组乳酸菌诱导表达的蛋白大小为92 kD,与目的蛋白大小一致。与2次免疫比较,3次免疫该融合蛋白乳酸菌疫苗能显著提高罗非鱼的血清抗体水平和对无乳链球菌的免疫保护效果。3次免疫Sip-Pgk融合蛋白乳酸菌疫苗的血清水平显著高于单一蛋白组和PBS组,其相对免疫保护率最高(45.56%)。

     

    Abstract: In order to develop a more effective Oreochromis sp. oral vaccine of Streptococcus agalactiae, we constructed a recombinant plasmid pNZ8148-sip-pgk which expressed Sip-Pgk fusion protein of S. agalactiae by using homologous recombination, and Lactococcus lactis NZ9000 pNZ8148-sip-pgk was obtained by electrotransformation of L. lactis NZ9000. The Sip-Pgk fusion protein was induced by nisin and tested by Western blot so that a Sip-Pgk fusion protein Lactobacillus oral vaccine was prepared. The tilapia was vaccinated orally by gavage with recombinant L. lactis NZ9000 pNZ8148-sip-pgk for twice or three times. ELISA was used to detect the level of serum antibody after immunization, and the relative immune protection rate was obtained by intraperitoneal injection of S. agalactis on the 18th day after immunization. The results show that the inducible protein size of the constructed recombinant Lactobacillus was 92 kD, which was consistent with the size of the target protein. Compared with the second immunization, the third immunization with the fusion protein Lactobacillus vaccine could significantly improve the serum antibody level of tilapia and the immune protection against S. agalactiae. The serum level of Lactobacillus vaccine immunized with three times Sip-Pgk fusion protein was significantly higher than that of single protein group and PBS group, with the highest relative immune protection rate of 45.56%.

     

/

返回文章
返回