糖基化鸢乌贼肌原纤维蛋白体外消化产物抗氧化性研究

Antioxidant properties of simulated in vitro digests of glycosylated Symplectoteuthis oualaniensis myofibrillar protein

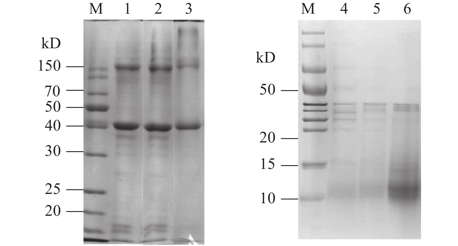
  • 摘要: 将鸢乌贼(Symplectoteuthis oualaniensis)肌原纤维蛋白与褐藻寡糖进行糖基化反应,并采用胃蛋白酶和胰酶对蛋白进行体外消化,分析糖基化改性对蛋白消化产物抗氧化活性和氨基酸组成的影响。结果显示,肌原纤维蛋白与褐藻寡糖在反应过程中自由氨基浓度显著降低,且反应前12 h降低更为明显,表明二者之间发生了明显的接枝反应。糖基化肌原纤维蛋白的DPPH自由基清除率及还原力在模拟消化前后均显著高于未接枝肌原纤维蛋白(P<0.05),因此接枝物具有更高的抗氧化能力。消化后蛋白自由基清除能力及还原力均降低。SDS-PAGE电泳图谱表明,肌原纤维蛋白与褐藻寡糖接枝反应促使高分子量蛋白接枝物的生成。酶解后糖基化肌原纤维蛋白的小分子蛋白、多肽的产生量明显增多,表明糖基化促进了蛋白水解反应。氨基酸分析显示,肌原纤维蛋白接枝物酶解液中总必需氨基酸含量减少而疏水性氨基酸含量增加。

     

    Abstract: The myofibrillar proteins extracted from purple back flying squids (Symplectoteuthis oualaniensis) were glycosylated with alginate oligosaccharide, and the glycosylated protein was simulated in vitro hydrolyzed by pepsin and pancreatin. The antioxidant properties and amino acids contents were analyzed. Results show that the free amino acids concentration decreased significantly after glycosylation, which was more obvious for the first 12 h, indicating the reaction occurred between protein and saccharides. The free radical DPPH and reducing power of both protein and the in vitro digests increased after glycosylation greatly (P<0.05). Therefore, the glycosylation increased the antioxidant properties of protein. While the radical scavenging ability and reducing power decreased after hydrolysis. The SDS-PAGE indicates that glycosylated protein showed bands with greater molecule weight, and its hydrolysates had more peptides with lighter molecule weight, which suggests that the glycosylation process promoted protein hydrolysis. The essential amino acids contents decreased while hydrophobic amino acids contents increased for the glycosylated protein hydrolysates.

     

/

返回文章
返回